近日,一位左肾重度积水的年轻患者在北京中医药大学房山医院迎来了康复的曙光。患者2周前体检发现左肾积水,出现左侧腰腹部酸胀感,遂来我院泌尿外科就诊,查泌尿系增强CT:1.双侧肾外肾盂;2.左侧肾盂肾盏重度扩张;3.左肾功能不全。考虑患者重度积水的原因是肾盂输尿管连接部狭窄所致。
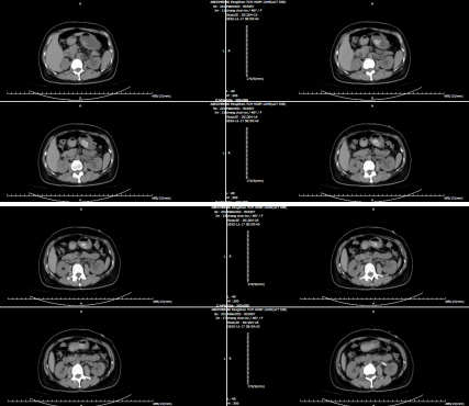
肾盂输尿管连接部狭窄,通俗来说就是肾脏和输尿管连接的地方变窄了,尿液排不出去,会憋大肾脏(肾积水),损伤肾功能。手术治疗的核心就是“剪掉窄的部分,把好的肾盂和输尿管重新接好”,让尿液能顺畅流走。此种术式称为“肾盂输尿管成形术”,是泌尿外科中技术成熟、疗效确切的手术,但因治疗的疾病发病率不高,且对设备和医生技术有一定要求,整体不算普及性手术。泌尿外科早已常规开展此项手术,积累了丰富经验,为进一步保障手术安全与效果,针对复杂病例(如合并重度肾积水、多次术后复发等情况),北京大学人民医院泌尿外科熊六林主任医师联合评估——术前和专家共同梳理患者病情、优化手术方案,术中若遇到特殊情况也会及时沟通协作,术后则结合专家建议完善护理细节,每一步都会反复核对、严格把控,始终把 “安全解除梗阻、最大程度保护肾功能” 放在第一位。术前CT如下图:

患者收住我院泌尿外科,崔克主任带领科室团队与熊六林主任医师进行病历探讨后制定腹腔镜肾盂输尿管成形术的手术方式,并稳步推进各项诊疗工作:1. 明确狭窄,专家协作定方案:术前通过泌尿系B 超、CT 等检查,明确 “窄在哪、窄多长、肾积水多严重”等问题。因张女士肾积水程度重且狭窄位置深,熊六林主任医师精准评估,排除手术禁忌后,确定采用 “腹腔镜下肾盂输尿管成形术”,并备好血管保护、支架管植入等预案。2. 精准吻合,“严丝合缝”规避风险:术中探查发现狭窄原因为异位血管束压迫所致,肾周粘连较重,熊六林主任根据情况,实时调整操作,精准切除 2 厘米狭窄段,吻合肾盂与输尿管后成功置入支架管。手术历时 2 小时 46分钟,出血仅 20 毫升,全程未出现血管损伤、邻近脏器牵涉等并发症。3. 细致护理,中西调护 “新接口”:术后监测尿量、预防感染,配合穴位贴敷、手指点穴等中医特色护理,患者恢复良好,未出现吻合口漏尿、感染等并发症。患者术后第 6天复查泌尿系CT提示肾积水明显减轻,肾功能正常,腰胀症状明显缓解;第 7 天出院;预期术后1 个月返院拔除支架管。张女士反馈:“微创恢复快,专家协作让人放心。”
复查CT见下图:

从肾盂输尿管成形术的技术本质来看,“明确狭窄、精准吻合、细致护理” 是贯穿始终的核心 —— 这一点,在此患者的诊疗过程中得到了充分体现。我院泌尿外科以专家协作筑牢诊疗根基,用精准医疗守护泌尿健康,正是我们始终坚守的初心与不懈追求。未来,结石病防治研究中心将继续通过“请进来、送出去”的方式,加强交流与合作,让本地老百姓不出门就能享受到更优质的医疗服务。
